The Unexpected Journey – Part 9: REMISSION!

First, I must apologize for the long delay between posts. Part of that stems from the fact that Laura’s MRI sessions are now spaced further apart. The other part is because I have started a new job and been very wrapped up in getting fully re-integrated back into my new/old team at Microsoft. That happened in late September last year.

But enough about me, that’s not why you’re here.

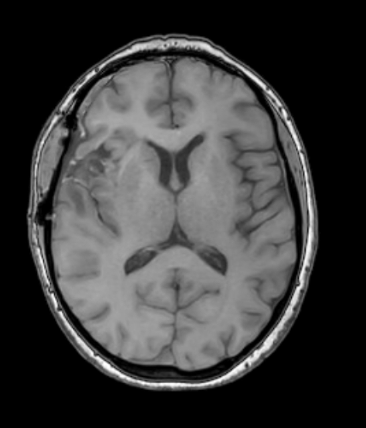
The last you heard (at least on this blog) was that a “spot” had appeared near where the old tumor was, and that we were hoping and praying that it would go away. That was in the September timeframe.

At the time, we were hopeful yet cautious that it was simply a “radiation affected” area caused by the treatment and not a recurrence of the tumor. We got another MRI in October, followed by one in December. Fortunately, the results in December were good enough to schedule the next one out into March, which is the most recent result that we have.

One thing I do not like about the way doctors handle this kind of thing is that they don’t seem to like giving out hope. They are quick to tell you how serious it is but seem to be overcautious with anything that constitutes “good news” – like they don’t want to be held accountable for things not going as well as they could.

But I am forever the optimist, and I love spreading good news. So, here it is: the spot is GONE! Looking below at the image is a comparison of the October MRI (right pane) with the March one (left pane), an lo-and-behold the spot is nearly gone.

What does this mean? Well, according to the written report of the follow-up visit with the oncologist, this constitutes “remission“. There are no new indications of tumor growth and even the injuries from the treatment are now fading away to nothing.

So, CELEBRATE! This is indeed a miracle, and we are truly grateful for the prayers and support we have received from our friends and family.

There are still some lingering effects from the treatment, such as fatigue, that are a work in progress, and we are both working to help overcome those obstacles. I say “we” because we both need to do the exercise routines that will grow our strength and endurance.

In the meantime, Laura continues to eat a healthy, cancer-combatting diet – one more towards the “keto” side of things, while I try to support her the best I can.

I will keep this one short so that I can post it. I mean, I started writing it a month ago and just now got it online. Sometimes, life just gets in the way.

The Unexpected Journey – Part 8: Out, damned spot!

“Out, damned spot! Out, I say!” – Macbeth, Act 5, Scene 1

Last month, after a two-month reprieve from treatments and MRIs, Laura got her next check-in MRI. While in many ways the results were good, something showed up. There was a small spot highlighted at the base of her brain near where the tumor was removed.

Even though I snuck a peek at what was there, I didn’t see anything concerning – but then I’m not a doctor or radiologist. Of course, I did not know what I was looking at nor did I know to look further afield in the scan. So, I was a bit surprised when the doctor brought it to our attention as an area of concern.

As always, when dealing with this type of cancer, there is the concern that it might come back. But, when he saw it, he did not say that. His attitude and demeanor are so caring and considerate. I cannot be thankful enough for him and the way he has treated us and allowed us to follow our own path through this.

What he did say was that it was likely one of two things:

  1. A new tumor growth
  2. A “radiation affected” area

Based on that information, he ordered a new scan for one month later with some additional “advanced imaging” called “MR Perfusions”. This scan, which takes an additional 15 minutes while laying still in the MRI machine, looks deeply into the blood flow patterns of the brain. This is an important scan, since a cancerous tumor requires a lot of blood and will show new vein growth in the affected area. So, if the new MRI would show rapidly increased size AND new blood vessel growth, this would be a strong indication of a new tumor.

Unfortunately, the only way to be 100% certain, especially for brain cancers, is to biopsy the area and examine it directly. We won’t be doing that.

If it is a new tumor, the treatment will depend on how fast it grows and if it can be accessed surgically. If it’s a “radiation affected” area, it is likely the brain showing an injury from the radiation dosage given during treatment in the first part of this year. The doctor did say that it is likely an affected area since this is the expected timeframe for these types of injuries to show up on a scan.

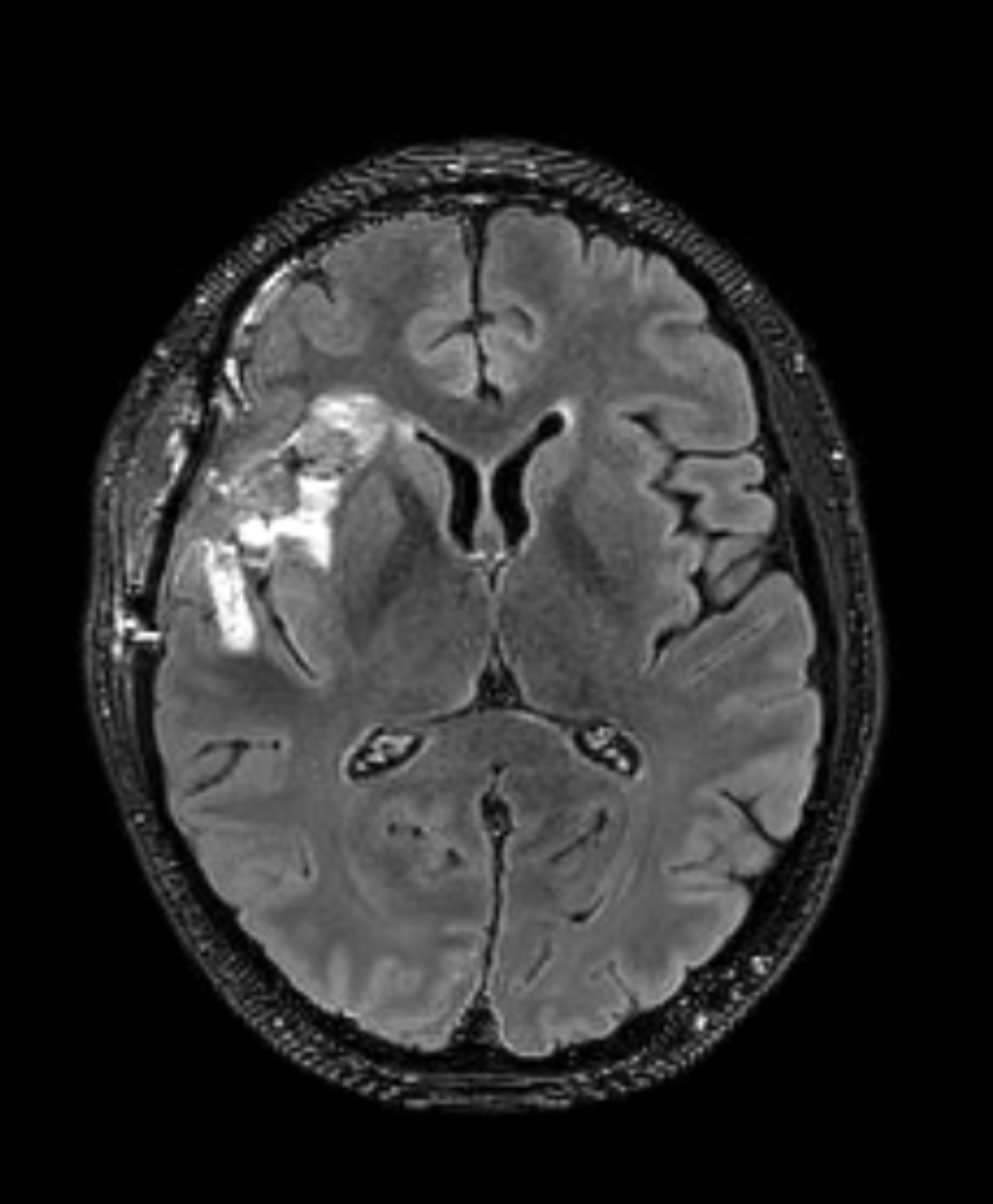
This leads us to today. We got a new MRI on September 2nd (2 days ago) and visited the doctor this morning. He showed us the images of the new MRI which did show a slight increase in the size of the affected area, but no new blood vessel growth in the new scan.

He did say that the lack of new blood vessels combined with the lack of any new symptoms was a very encouraging sign that this is likely just an affected area.

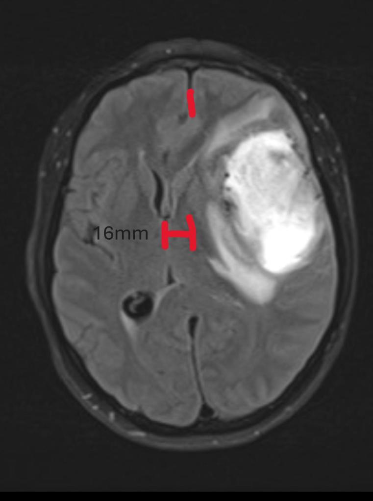
In the first image, you can see the spot on the left side of the image (right side of the brain since the images are reversed), but on the second image, you can see the area where the spot is does NOT show any highlights or additional blood flow.

What was also encouraging was that he said that even if it does turn out to be a new tumor, the location is easily accessible surgically and can be removed. We are hoping and expecting that is not the case.

We have a new MRI scheduled in a month, after which we will also be visiting our wonderful surgeon in Boise to have a check in.

As for our general health and state of being, we are both trying to spend more time exercising – mainly walking and taking advantage of the late summer sunshine here in the Seattle area and enjoying every day as we can.

What we are vigorously praying for is that highlighted spot will shrink and completely disappear and that it is not a tumor.

In the words, but not the spirit of Lady Macbeth: “Out, damned spot! Out, I say!”

The Unexpected Journey – Part 7: A Reprieve

I know it’s been a while since I last wrote, and some of you have asked what has been going on with Laura. The previous posts were all mainly written after everything had happened. The last one, though, was as things were happening, and this one is now, too.

Things are happening much more slowly now that all of the initial chaos has passed. It has been good and bad. Good in the sense that we are not scrambling to find things out or rush to get treated. Bad in the sense that things seem to go slowly even when we want rapid results.

Last time, we talked about the treatment and it being done. After the treatment was complete, she was scheduled for an MRI as a basis measurement. They wanted to know how much change had happened since the start of treatment and to set a “marker” for what might happen after.

Laura got scanned back in March, and what we saw was good news: the brain was healing and very little of the cancer was left in the brain area.

In the image above, the December MRI (pre-treatment) is on the right side, while the March MRI is on the left side. These two images show that no new cancer is growing, and also that the brain is in process of healing itself: filling in the gap where the tumor was removed.

They said that the cavity will always be there – that she’ll always have it to some degree. But even so, there is such a clear difference in the image on the right and the one on the left.

After the treatment, which was the toxic chemo medication and radiation, Laura was extremely tired all the time and has had some hair loss in the target area. They warned us about this, but fortunately, she has a lot more hair than I do and can just let it fall over the affected area. There has also been a bit of welcome weight loss, although I don’t recommend this process for that.

A little while before the MRI, we got to visit Houston. While we were there, Laura made an appointment with her favorite doctor in the Houston area (who we don’t get to see much), Dr Bob Rakowski. He has been very helpful in setting her up with a supplement protocol to aggressively kick-start her natural immune system so that it can attack the remaining cancer cells. She did a short two-week cleanse, and with the success of that, she’s now on a 30-day protocol to bolster the effects.

With all of these things coming to an end in March (the treatments I mean), the oncologist gave us a two-month reprieve to rest and recover. Of course, they love their MRIs, so she was scheduled for a check-in after two months: which was this week.

Today, we had the follow-up visit with the oncologist to look at the images.

“The scans look great!” to our HUGE relief.

March scan images on right, May scans on left.

What you can see here are the side-by-side comparisons of the same kind of scan in the same “slice” (cross-section area of the brain). The scans show NO GROWTH of cancer, and even a small reduction in the amount highlighted by the contrast.

Not only was our doctor very happy with the results, but SO WERE WE!!!

With the good news, he even told us he was not going to push more chemo drugs. This was GREAT news because those drugs are not only toxic but make her very tired.

This will give us a chance to strengthen her body with better diet, some exercise, and good rest.

I should have more to say I suppose – some more witty and pithy sayings, but I am so emotionally drained that I just want to get this out there for you to read and to thank God, much as I am.

Thank you for your prayers and we will continue to keep you updated, if not quite as frequently as we did at first.

The Unexpected Journey – Part 6: Treatment

It’s been a while since you were here. It’s been a while since I was here. The last 5 posts were hard to get through, but I felt like I had to get them out not just for you who are reading this, but for myself – both as a way to remember and a way to express.

It’s not like nothing has been happening, though. Although as I reflect on what happened in that week of November, I felt like the world shook and when it was done, everything was in a slightly different place. Everything is off kilter. Nothing feels the same, but we are together and will face what comes together.

After we returned, we certainly felt like we needed a breather and to re-affirm life. Let’s say there were a lot of desserts eaten in the week after we returned from Boise.

The hospital made some referrals for us while we were in Boise for follow up visits and future treatments back in Seattle, but the appointments were a couple of weeks away from when we returned – that meant we had some time to recover from the emotional rollercoaster for a little bit.

In part 4, I mentioned that the tumor was a glioblastoma. After a few weeks, we got the detailed pathology report, and it came back as a “grade 4” glioblastoma with “hypermethylation” mutations… whatever that means. What I do know now, is that it is a very serious, fast-growing tumor, but one that responds well to a specific treatment regimen.

That regimen, unfortunately, is radiation and chemotherapy.

On December 11th, we sat through 5 back-to-back appointments in the Alvord Brain Tumor Center at Fred Hutch Cancer Center in the UW Medical Center in Seattle.

At this point, I was glad that I was not assigned to a project and that these visits did not interfere with my work – or my work did not interfere with these visits, which is probably more to the point.

Funny thing, though, was the day before, December 10th, I had just accepted an offer with a new company to start a new job at the end of the year (December 30th). Fortunately, they were able to get me on board in such a way to not interrupt our medical coverage – and not duplicate any deductible payments. So, that was definitely God’s timing – a new job, a 20% pay increase, and insurance starting January 1st.

(I’d tell you all about the job change process, but not now: this is a different story.)

Let me tell those of you who do not live in the Seattle area that the city is not well suited for commuting. We were not excited about having to drive into Seattle for treatment, but after conferring with the doctors, we were told that the best place to get treatment was there at UW Medical Center (UWMC). At least at UWMC, we don’t have to drive deep into Seattle – just across the lake.

The most disturbing thing about these visits, though, was that the doctors acted as if the treatment was just a foregone conclusion: but of course, we would want to do radiation and chemotherapy. Why would we not? I think these discussions were more difficult for Laura than going through the surgery was. She has lived her life in a healthy way so as to avoid putting anything toxic into her body, and here were the professionals telling her to do just that in order to deal with this cancer.

<rant>

There: I said the “c” word. I hate using it – people react to it and most usually don’t know how to respond or treat you, and in many cases, they start avoiding you. I was told, and I understand it now, that it is not that they don’t want anything to do with you but just don’t know what to do and how to treat you; that they retreat and think they don’t want to be insensitive or be a burden to you. I will say, though, that the best way to treat someone who just told you they have cancer is to treat them like you did before. Don’t change on their behalf, don’t “back off” to give them space. Still ask for their help, still ask them to do things, still ask to spend time with them. Make sure they feel valuable to you and not a waste of space.

</rant>

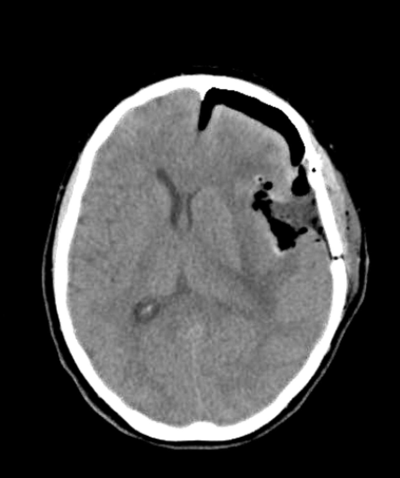
Following up after the meetings, the “care team”, as the team of doctors and nurses is called, had realized that Laura had not had a post-operative MRI done, so on December 16th, we went in for an MRI and what they called a “planning” CT. The CT combined with the new MRI would be a 3D map of the area to be treated so that radiation could be targeted to a specific area.

These images are backwards: left is right, right is left. Our doctor is looking at the before and after images in the first one, but the scans on the right are the new MRI scans (without contrast and with contrast). Notice how much healthier her brain looks a month after surgery! The part of concern is the bright area on the picture in the far right. That is the section where the tumor was removed from and where there may be some remaining cancer cells. Of course, it could also just be inflammation – they were a little unclear on that.

The plan is to continue the radiation and chemotherapies for a “cycle”, let the brain chill out for a couple of months, and then do another MRI to check the progress… and another and another. They want to keep doing MRIs to make sure nothing grows back after the treatments, because it is the only way to know if it’s gone. Remember the blood-brain barrier? Well, that means there is no blood test with this kind of cancer – they have to keep looking. So, the scans will go on for a while.

And speaking of “plan”, in order to get set up for treatment, following the MRI, the did a “planning” CT to complete some 3D mapping of the treatment area which required Laura to get a mask device created to hold her head is a precise location and position.

The first two pictures are of the mask creation on December 16th. The last 3 pictures are of a treatment day with Laura climbing onto the machine and getting “masked up”. The last picture is a quick shot of the treatment plan with some 3D imaging and target area mapping. We made them show it to us at one of the follow up visits.

While the radiation was getting planned out and scheduled, we were supposed to be getting her chemotherapy medication – not the intravenous type, thank God! It is in pill form and a much milder version, which is targeted specifically for this type of tumor. However, it is a specialized drug and not found at most pharmacies. We had to order it from a specialized online pharmacy. This was supposed to happen through my old job’s insurance claim process in the end of December. Unfortunately, they drug (ha) their feet long enough that my insurance expired while we were waiting for a call back and we had to re-initiate the process of getting it approved and ordered on the new insurance with yet another online pharmacy.

While these two things were supposed to happen simultaneously, we ended up having about a 3-week delay in getting the medication. So, Laura ended up getting a bit of a break from the double whammy of radiation and chemo meds and was able to ramp up a little more gently with radiation first, followed by chemo a couple weeks later.

It was still a major pain to deal with. And yes, that picture at the beginning of the post that says “hazardous drug” is the package it came in.

As of now, we are in the beginning of the sixth and final week of radiation treatment and that means it should wrap up in just under one week from today. Laura will be glad that it is done. That will also mean that she doesn’t have to get up so early each day – although, it’s been somewhat motivating for her to have that schedule. Both the chemo and the radiation will stop at the same time, giving her a break to recover her strength and to detox from the drugs.

We are so ready for this part to be over.

The Unexpected Journey – Part 5: Freedom

After everything that had happened over the last week, by Saturday, November 23, we were feeling the confinement of the hospital and Laura really needed to get outside and feel the sun on her face. I just wanted to get to something “normal” – like a real bed, and eventually home.

The day started well with some sunshine coming in the windows and Laura’s breakfast in bed delivered. I had to get my own, since the medical plan didn’t cover my meals. But the cafe downstairs was very well priced and had some decent food – not like some hospitals that I’ve been to.

After breakfast, we waited a while for the discharge to come through. While it seemed like forever, it probably was only an hour or so. Finally, our day-shift head nurse Kyle came in and told us that after he gave us the proper instructions, prescriptions, and paperwork, we were free to go. We listened to his instructions, especially about when Laura could dunk her head underwater (not that we had plans to go swimming yet) and for the tapering off of the medications they were giving her during her stay. He told me the medications were in the hospital pharmacy and that I could go pick them up at any time. He then removed the IV lines in Laura’s arm and permanently disconnected the monitor feeds. Yay! No more finger sensor (which was totally annoying, BTW)!

Laura sent me down for the medications while she got dressed, ready, and packed. I came back into the room, and we strode victoriously out through the hospital to the front door and on to the car.

Honestly, it felt odd to be outside during the day. Most of the time that I had been outside was during the evenings or nights when we would have hot chocolate, and only once during the day when I had to buy some additional clothing for myself: I had only packed for 4 days, so I ran out of clothes on Tuesday and went shopping.

And by “odd”, I’m not sure I can describe how it felt. It was good certainly, but life had changed. We had quite literally faced death and survived, but we also knew there was a road to recovery ahead. We weren’t sure how long yet – and still aren’t, but it wasn’t like everything was all “done” just yet. There was a sense of “what now?” as well. I think it felt more like a happy/sad reprieve. Certainly, happy because we were out and alive and Laura was better every day, but sad in the sense that we knew the fight wasn’t quite over yet: maybe it was kinda like halftime in the big game. Even now looking back, it still doesn’t seem real, but I know that it was. Like I said – it’s hard to describe unless you’ve lived it. Some of you have.

But it was Saturday, sunny, and we were free to move about town. Boise has a street market every Saturday and we had been there before several years ago, so we thought to go again and just walk around.

So out we went. You can see that Laura is happy to be outside and moving. I was so nervous, though, that I may have been hovering over her a little. She was still a little tired and low on energy but walking around the market was uplifting for us both. We didn’t see the one hat vendor that she remembered from years ago, but that week seemed to have a smaller turnout than before, probably because it was not summer. After about a half hour, she was done walking, and we made it back to the car.

We had been invited to stay overnight with a couple from the Awaken Boise campus and we were happy to take them up on their offer. We got there around lunch for some Italian sausage soup, which we enjoyed, and had some good conversations before we got settled in their guest room.

As you can see, Laura is very happy to be on the outside of the hospital and at the beginning of our trip home. She took a long afternoon nap sprawled out on their California King guest bed – Wow! Once she hit the mattress, she was out in less than a minute. SO much more comfortable than the hospital bed. We ate dinner with them again than evening and turned in fairly early.

In the cold morning (notice the frost on our car), we attended services at Awaken, got more prayer and lots of hugs. After an amazing lunch at Tupelo Honey (complete with grits and banana pudding), we headed out on the first half of our trip home.

After remembering the snow and storms of the previous weekend, I was wary of heading into the passes driving 8 hours straight through. Plus, so much time in the car all at once would have been hard on us both. I made a reservation in Kennewick, WA, which was about 4 hours’ drive or halfway home. Thankfully, I had enough Marriott points left for a free night. Too bad I didn’t get any for the hospital stay! The trip was miraculously clear of snow and an easy relaxing drive. We got to the hotel early in the evening, had dinner and went to sleep. It was the most activity Laura had done in a week, so she was tired but happy.

The next morning, there just happened to be an Original Pancake House. Yum!

After that yummy breakfast, we hit the road again (also peaceful and non-eventful) and arrived at home at a decent hour. All told, the return was easy and good.

At this point in the journey, we were at a bit of a “reprieve” where we were no longer hospital-bound, but also not yet in the next part of the recovery/treatment phase. We knew that once we had gotten settled in at home, we were probably expected to begin the follow-up visits to the local hospital.

I will leave this section on the positive notes that our insurance covered almost all of the unforeseen medical bills, which were staggering; we were home safe; and we were still together to face whatever came next.

The Unexpected Journey – Part 4: The Recovery

After the whirlwind stressful day of surgery, I was not really able to sleep well at all. If any of you have stayed in a hospital, you know that the nurses are masochists and love to make you sleep deprived. Yes, I know it’s their job to make sure the patient is alive and well, but waking people up every 3 hours after they JUST got to sleep is, well, mean. In spite of that, I have to say that our nursing team were all wonderful people.

Not that I was really asleep anyway. I could not relax after the surgery, partly from relief, partly from joy that she was out and still alive, and partly because I was also just too tired to sleep. Or maybe it had something to do with the coffee.

The sleeper sofa was wide and solid, but a little hard. It was a nice touch, though.

Laura at this point was itching to get up, sit up, walk around, and just do things in general. She had been laid out with pain for so long, that the absence of it was making her want to start doing things.

Of course, major surgery can take a lot out of a person, so she was also sleeping quite a lot – but only in small bursts, since she kept getting woken up for “vitals” checks.

After the first day, the change in Laura’s alertness and awareness was amazing. She was recovering faster than anyone thought she would. Before surgery, the tumor was pressing her brain so hard, that not only did it hurt constantly, but she was even unable to think clearly. Now that it was gone, she started doing and thinking more a little at a time. To me, the change was remarkable, and she was on her way back. To the doctors who came by periodically to check on her, she was doing amazingly well.

DO NOT PANIC – These are good news scans below:

The neurosurgeon came to show us the CT scan for the after-surgery look at the place where the tumor used to be. The before is on the left, and the after on the right. They look different because the before is an MRI and the after is a CT scan, so they have different resolution and contrasts. The white area on the before is the tumor. On the after shot, you can see a lot of black areas: those are air gaps where the tumor no longer exists. You can even see the gap between her skull and brain to see how much extra space the tumor was taking up. This picture was taken immediately after surgery, but even so soon after surgery, the midline had moved over half the distance it was displaced by (now only 8mm), and the brain had begun re-expanding since the pressure was no longer there. HUGE improvement! No more headaches!

Those flowers are on a wall mural in the NeST area, and you can see that Laura is much happier walking around outside of the room. They would not take out the IV plugs “just in case” while she was there. Those were bothersome for her until the day of release.

That night, 24 hours after surgery, Laura wanted to wash her hair – but, with the incision and the sealant on her scalp, she had to be very careful. Luckily, nurse Madie was able to help her do her hair properly without causing damage to the incision area.

The next day (Friday), after several visits from doctors, therapists, and nurses, we were told that Laura was doing so much better: that they expected people who had been post-op for 3 weeks to be doing as well as she was doing only 2 days after surgery. The recovery was going spectacularly. So well, in fact, that Laura was given a “hall pass” to wander around the entire hospital – just not allowed to leave yet. They have an outdoor observation deck/lounge that we were supposed to go to, so we suited up with jackets and sunglasses ready for the sun.

Unfortunately, the deck ended up being closed for the season just the day before. We then proceeded to wander around the building, stopping at the gift shop and finding a place where the view of the mountains was the best. Laura was disappointed that the selection of T-Shirts at the gift shop did not include any post-surgery “victory” shirts. She would later rectify the situation with orders from Etsy.

Once we got back, we met the oncology doctors in the NeST hallway – they were looking for us. We had never met them, but I could tell from their expressions that they were the “bad news” doctors. What they told us shouldn’t have been a surprise for us, I suppose, but it wasn’t something that we really had thought through. With the resounding success of the surgery and the clear relief from pain, we didn’t think too far past that.

What they told us was that the tumor was something called a glioblastoma. At the time, we had never heard of this. Apparently, there are things called “glial” cells which support the neurons in the brain and that is where this tumor grew – right on the outside edge of the brain. Good for us since it could be removed easily, instead of some tumors that grow deeper inside. More tests were still to be done to determine the type of glioblastoma and its grade. Brain tumors inside the blood-brain barrier do not have “stages”, but “grades” because they do not spread outside of the brain. Other cancers in the rest of the body are classified in stages, because they can spread to other areas or “metastasize”. Most brain tumors do not do that.

The implications of that, however, meant that they were referring us to a cancer treatment center in our local area. If I had to deliver news like that frequently, I would also have a sad expression on my face most of the time.

The shock of this was somewhat mitigated by the fact that the final test results were a few weeks off, and by the fact that God had gifted us with a wonderful care team in a great hospital, and that He had also given us joy to be alive and together. It was almost like a vacation – if on a vacation you go scuba diving, get the bends, have to go to a decompression chamber, and get treated for a shark bite while you’re at it, but still get to be on the beach.

Even that news couldn’t keep us down for long. We knew that we were close to being discharged and that we would be coming home soon.

Plus, we were facing this together. Always.

The Unexpected Journey – Part 3: An Open Mind

Okay, that title may seem a bit snarky, but it’s more than that: it has to do with our acceptance of what had to be done and both of our openness to those who were there to help us.

… and it’s a little snarky as well. We have to keep our sense of humor.

As we left the story last time, we were waiting for the surgery to happen on Tuesday, but it was delayed. Laura, who had been told to fast from food & water from midnight the night before, was understandably both hungry and thirsty and cranky about it – especially since I ate lunch in front of her. (Which by the way were some yummy tacos brought to me by our new friends from Awaken Boise.)

After they delayed, they gave her the green light to eat and drink until midnight again. I was sent out into the world to obtain sustenance in the form of In-N-Out Burgers, which I expeditiously procured.

By this time, Laura was feeling way more alert after the steroid injections. The swelling in her brain was clearly affecting her and the steroids brought her right back from the edge: but it wasn’t enough. They still needed to do the surgery.

Wednesday morning arrived (November 20th) and we were both understandably nervous, Laura even more so since she was more alert and conscious due to the decreased swelling. However, here is where the “open mind” comes into play – we were both feeling a sense of peace that we were in the right place at the right time and knew that God had placed us there with the neurosurgeon He had chosen for us, and the church family nearby to support us. In spite of the dire situation, we were both ready for what was coming.

And then the nurse came in. It was supposed to be at 2pm, but they came around at 1pm to start prepping her and wheeling her to the “ready room” or whatever they call it. I quickly packed up my backpack with my computers but left all of our clothing and personal items behind in the room because I didn’t know where they would put her after surgery. Seems you don’t necessarily come back to the same room afterwards. In our case, Laura got assigned to the “NeST” the Neuro Surgical Trauma wing for post-surgery recovery. There, the nurses specialize in helping those with neurological trauma recover. I assumed of course that I would have to go back and get our things once we knew which room we were assigned to.

I worry a lot about logistics even in the face of such traumatic events. I think it comforts me to dive into the details and not look as much at the big picture.

Anyhow, they started wheeling her to the operating room and deposited me in the surgery waiting room. They had little walled-off areas for families and friends of people undergoing surgery to gather in. I was given room 5 – there were about 6 chairs, but there was only me. There were some other small family groups in other “rooms” waiting for their loved ones. As I sat there, I started notifying people through texts and emails and however else I could and then pulled out my computer to send a note to my managers (who were very understanding and supportive about the whole situation). Just as I was settling in for the long wait, which was supposed to be between 4 and 5 hours, I was called into the hallway outside the waiting room. Laura actually called me on someone else’s phone. It spooked me a bit since I had her phone with me, but she wanted me with her in the final prep area. I jumped up and ran in. Even though I had just seen her not 20 minutes ago, I can’t describe the sense of relief that I felt seeing her again. She just wanted me with her as she consented to the operation and the surgeon went over some of the final details. Laura asked him to not just be an excellent surgeon, but also an artisan: to rise to a new height in his skills.

These are two pictures before she went in to prep for surgery. The first one was before they left me in the waiting room. You can see the look of pain on her face here. The second picture is after they let me in one more time to see her before they wheeled her into the operating room. Here, we had just prayed and given over our worries to God. She was now in His hands and the skilled hands of the surgeon and his team.

They escorted me back to the waiting room where I was beginning to feel some of the weight of what was happening. Thank God for good friends and family and the distractions they gave me. I think I spent the first 3 hours of the wait on the phone to several people, all who wanted to just talk and comfort me while I waited. Thank you, Cindy, Charles, Daniel, John, and Sally, for helping me through this hard waiting time.

After talking so much, I was glad for a little quiet. Since it was only 3 hours in, I knew I had to wait at least one and possibly two more hours. I had a little coffee – yes, it was 5pm and that would mean I would be up all night, but it was warm and comforting. And free. I read some in a book. I tried to sleep. I started to get nervous. They had wheeled her in right around 2pm, and now it was after 7pm. 5 hours and I was getting nervous. Several people started texting me and worrying with me (it’s nice to share the pain, right?). 8pm rolls by and still no news. The surgeon had told me he would call me directly after the surgery. I made sure my ringer was on and that it was loud.

Finally, at 8:47pm I got the call: she was out and in the recovery room. He told me that they were able to remove the tumor and gave me a rather too-detailed description of it. He said she was going to take one or 1.5 hours to come out of the anesthesia, so I would have to wait a little longer before I could see her. The sense of relief was powerful now that I knew the dangers of surgery were past. And there were a lot of potential dangers in this kind of surgery. That’s why they pay neurosurgeons the big bucks. I won’t harp on all of the risks involved, but let’s just say that in the brain, the tiniest mistake could shut the wrong things down and have devastating effects.

He did not make any mistakes. Thank God!

About an hour and a half later, I heard a nurse come into the waiting room and start looking around. Since the little rooms were all semi-private, I stepped out into the hallway to see what was going on. She looked at me and said: “oh – you look like who I’m looking for. Your wife is right outside!” They were taking her to get a post-operative CT scan, and she had insisted that she be able to see me before they wheeled her back for that. She was right in the hallway on the bed – a little groggy after all the drugs, but she was still there: still herself. I could see that.

After our emotional reunion, the nurse told me to go to her new room and gave me that room number. I was still worried about getting all of our stuff out of the old room, so I was determined to move all the stuff from old to new. But first, I was going to check out the new room and drop off my backpack before going to get all the stuff. Well, once I got there, I saw that didn’t have to bother: they had gathered all of our personal item, put them into bags, and taken them to the new room. I was so touched that they had done that. And then I saw the new room. Wow! It was huge! Like a luxury suite! I knew then this bill would be astronomical.

On the couch, you can see the bags of personal items they brought to the room for us. You’re seeing the room without the bed since they put her in the new bed while in the OR and wheeled her up in it. The couch in the back is actually a sleeper sofa. Much quieter than the squeaky cot they rolled into the previous room, but a little too firm to relax all the way.

I was just standing there looking at the room when the shift nurse came and introduced herself to me. It was only a few minutes later that Laura arrived, and they plugged the bed in up against the wall. By this time, it was about 10:45pm.

Here is Laura with her new hair style. It looks like they used hair gel to make her hair stand up away from the incision. They actually used super glue to close the cut and put a sealant over the top of it. It makes the scar much cleaner and tidier than if they used stitches or staples. She is still scraping that sealant off in places a month later, but most of it is gone now. This picture is also before the swelling set in, which still hasn’t completely gone away.

A close-up of the incision so you can see it was barely there. The yellow stuff is iodine I think, and the purple/blue stuff is a marker where they traced out where exactly to make the incision. They only had to shave a narrow band where they needed to cut, so she still has most of her hair and if you’re not looking for it, you can’t even tell they cut that part away.

Of course, what was most important for Laura at this time what that I had promised to go get her some hot chocolate once she was out of surgery and able to drink it. At 10:45 I was sure that Dutch Brothers would be closed – and it was. However, there was one nearby that was open until midnight. So, out into the cold I went to obtain the desired hot chocolate (the best you can get from any coffee place, by the way).

This is Laura enjoying her Dutch Brothers Hot Chocolate and our angel nurse Madie.

At this point I was joyful, emotionally exhausted, and yet too wired to sleep much. While I waited between the surgeon’s phone call and the nurse showing me to Laura, I notified all that I could through text messages and phone calls. Now that we had our hot cocoa, it was time to try and rest.

With Madie’s help, I pulled out the sofa bed and got ready to sleep. It was finally time to end this whirlwind of a day.

The Unexpected Journey – Part 2: The Hidden Challenge

Yes, this is another long one, so strap in!

As mentioned in part 1, we were planning our short 3-day weekend trip to Boise to do a couple of things. First, the last treatment of Cereset Laura had scheduled for Monday, November 18th. We took the opportunity to leave on Saturday, though, so that we could arrive early enough to attend church services at the Boise location of Awaken Church. The plan was to leave early on Saturday, drive a leisurely 8 hours to Boise, and arrive in time for an early dinner.

Things did not go quite as planned.

Since Laura was still in considerable pain, we were not able to get moving until well after noon. That meant we would be arriving late. The ride there for Laura was also very excruciating. She was unable to relax and sleep in the car because the pain made it so uncomfortable for her. But, after a long and painful drive, we arrived and found a downtown restaurant that was open late.

The next morning, we attended church and spoke to several local people and got lots of prayer. It was very good to have a part of our church family in another city to help support us.

On Monday morning, Laura was in even more pain than before – in fact, it seemed to be the worst so far. She was unable to really focus, but even so, we were able to pack up and check out of our hotel and go to the Cereset clinic. Once there, Laura was in so much pain that she had trouble getting out of the car. We finally went inside and met with the clinician. After talking to Laura for a little bit, she felt that she was unable to continue and do the actual treatment. In fact, she recommended that we find the nearest MRI place as soon as we could.

She happened to have a friend who worked at an imaging center, so she called her, and they found a local MRI place that had availability for us to walk-in right away. So, we got in the car and drove there as fast as we could – all while watching out for large bumps or potholes – bumps made her head hurt even worse.

Once we got there, we were fortunate enough to be the only ones there, so they did a quick intake interview and brought Laura back for the scan. While she was in there, I dealt with getting the MRI paid for. They could either do insurance or out-of-pocket payment. Insurance would have required pre-authorization, and we didn’t have time to wait for that. We chose the out-of-pocket option, and it was not very expensive at all – it only cost $550 for an MRI. I was expecting several thousand but was pleasantly surprised at a much lower cost. I had a good chunk of that in my HSA account, so I used that and paid the rest on the credit card.

Then, after waiting for the scan, everything changed.

One of the nurses came out to talk to me. He had gone to the back with a happy expression when I first met him after his lunch break, but when he came out to talk to me, his face was anything but happy. His concern and sad expression chilled me, but what he said scared me even more. He told me there was a growth or as they said a “mass” in her brain and that they were calling an ambulance to take her away to the emergency room ASAP.

I was in shock.

Laura was in shock too or would have been if the pain wasn’t distracting her. They wheeled her out on a gurney and straight into an ambulance. Neither Laura nor I had ever been in an ambulance. I still haven’t – they wouldn’t let me ride with her, so I had to follow in our car to the emergency room.

They took her in the side entrance, while I had to go in the front door, and I had to wait.

Once they let me in to see her, they made us wait some more while they performed several tests and exams. They took her in for a CT scan to go along with the MRI they did earlier. Once that was done, a neurosurgeon came in to talk to us. He had a very kind demeanor and a quiet confidence about him. I have heard rumors of the arrogance of surgeons, neurosurgeons especially, but this man did not have that – he in fact just seemed like a normal person who was genuinely concerned for us. His compassion for us and gentle demeanor helped to guide us to make the best decision we could regarding Laura’s treatment.

He explained that there was a “mass” in her brain and even showed us the images. He showed us what the MRI displayed as a “mass” on the right-hand side of Laura’s brain, and it was shifting her midline about 16mm to the left. It was so big that it was pushing on her brain and eye, and the pressure alone was causing her headaches. The estimate of its length was about 7 or 8cm long. That’s about 2.7 – 3.1 inches.

Above is the picture of the of the “mass”. I’m not calling it a tumor yet since we didn’t know definitively what it was at this point. The “mass” is the white colored area, and you can see the midline shifted over to the left. We will show the “after” images in a later post. There should be more “texture” than the picture above is showing, but much of it is compressed by the tumor so it doesn’t show up as a normal looking brain.

As he showed us these images, you can imagine that we were scared. The neurosurgeon advised us to get this taken care of as soon as possible. We agreed. They had an opening in the surgery schedule the very next day.

Playing into this decision was the fact that the “bomb cyclone” had just blown through the Pacific Northwest piling up the passes with unseasonable amounts of snow. That would mean that if we were to drive home with her in this condition, in such unbearable pain, we ran a huge risk of getting stranded somewhere without heat or food and nowhere near any decent emergency care. Plus, that would also mean that the driving time could double as drivers (me included) would be driving slowly and carefully. It also had blown out power across Seattle – even our house in Sammamish was without power at this point. In fact, it didn’t come back on until Friday. It was a good thing we were in Boise for all of this.

They admitted her to the hospital, which meant checking her into a room overnight while we waited for surgery.

That sounded quick the way I wrote it, but getting admitted to the hospital takes a good amount of time. I think we were in the emergency room for 5 or 6 hours before they finally wheeled her up to the room.

Since we had checked out of the hotel, all of our stuff was in the car, and I had no place to sleep. Fortunately, they were able to wheel a cot into the room to allow me to sleep next to Laura. This was very gracious of them, and the only way we would be okay with staying. I certainly wasn’t going to leave her side. Once we got her to the room, I was able to bring a few things up from the car for our comfort – including Laura’s pillow, which we had brought for the weekend.

In the morning, we discovered that our little room had an excellent view of the mountains around Boise.

The room was small, but the nurses were great at keeping an eye on her throughout the night and the next morning. Maybe they were too good, since neither of us got much sleep as they kept waking her up to take vitals.

They started giving her some things to control the swelling in her head, and once it started to take effect, she came alive and alert again: almost back to herself.

While we waited to be called into surgery, some of the pastors of the local church came to visit us and brought me food – I was starving! Laura wasn’t allowed to eat since she was scheduled for surgery that day. They also spent time with us and prayed for us.

The surgery was supposed to be at 4pm, but as that hour arrived and passed, the surgeon came by to tell us that because the last surgery went over time, they would be doing the surgery the next day – on his day off even.

That meant another night on the squeaky cot in the hospital room for me. Another night of Laura getting poked and prodded and woken up every 3 hours, but at this point I had taken the rest of the week off work and had nowhere else to be except there by her side.

So, we waited.

To be continued…

The Unexpected Journey – Part 1: The Time of Pain

WARNING: This is a long one, and not one of my happier posts. We wanted to share more information and timelines about what has been happening with a more detailed history and background info.

October started like any other October, or any other month for that matter. We had made plans to come and visit Texas during the weekend of Homecoming for Laura’s college, Stephen F. Austin State University. This also was very near my birthday weekend, so we made sure that we overlapped enough time for us to see family, friends, and of course go to some of our favorite restaurants – because that’s what we do when we go back: eat.

Homecoming was the weekend of October 26th, so this put our trip on the weeks around that. We flew down on Friday, October 18th, and after a great dinner at my favorite restaurant (Pappasitos), we went to my parents’ house to stay for a few days out in Huntsville.

Here, I will need to provide some context or “back story” for how Laura was feeling in the months up to The Time of Pain. Over the months of spring and summer, she had been feeling a little mental “fogginess”, and we were attributing it to the natural aging process and several stressful events surrounding the church transition, construction, and the downsizing of the church office where she had been volunteering.

To help enhance her mental clarity, she began researching some advanced therapies to help focus the mind. She found an interesting option involving sound/audio therapy which plays back sounds to you interpreted from your own brain waves allowing the mind to “listen” to itself. It’s called Cereset and it’s kinda cool and relaxing.

Having found this interesting tool, Laura wanted to share it with her mother, and so we arranged some clinic visits to be a part of our October trip to Houston. They do 4 sessions in a week or so but then wait about 3 weeks longer to have the final 5th session. This last session, we were scheduling for Boise, as it is the closest place which has a clinic that provides it. (And I didn’t want to stay a whole month away from the house!)

So here we are in Huntsville, TX having spent Saturday just relaxing, not having any idea what was coming.

On Sunday morning, October 20th at about 3am, Laura wakes up in severe pain. She of course wakes me up to share this pain, as all good spouses do. She had never had a major headache, but when she described what she was feeling, I thought it was probably a migraine – piercing pain through the right side of her head and it was like nothing she had ever experienced before, and certainly nothing that intense. We didn’t know what to do. We tried some Advil and to go back to sleep. In the morning, none of that was helping and she was now having nausea. She was not up to going to church, so she slept that morning and much of the day. She was not even able to eat much.

After a day or so, as I tried to do some of my work on Monday, she began to move around and try to function with the pain. I don’t think it diminished, but I think she started to power through and carry the pain so that she could do what we came to Texas to do – and we had a full schedule.

On Monday afternoon, we relocated to west Houston to be closer to her mother and Laura planned to do the first two Cereset sessions that week with her in the Galleria area. We also had planned the first of our joint birthday gatherings. (We had planned to have them together this year since we were not likely to come down again in December for Laura’s actual birthday.)

For this party, there were tacos.

After a few days, we headed off to Nacogdoches to visit with Laura’s cousin April, and to be local for the homecoming events. The weekend was good, and we got to reconnect with people we haven’t seen in quite a while. We spent a great afternoon with our old friends from the Chi Alpha campus ministry there at SFA and also had a great dinner at the Republic Steakhouse in the Fredonia hotel with John and Kim (pictures below).

After this weekend, we returned to Houston for the last few days before our second birthday event, this time on my actual birthday at a restaurant on the north side of Houston.

We returned to Huntsville for the final few days before returning home. Throughout this whole time, Laura was in pain of varying intensity, but the overall pain level seemed to not diminish.

The flight home was excruciating for Laura: the pain made it impossible for her to relax or rest on the plane, and for her the flight seemed an eternity. This was very unlike her as she is usually able to sleep almost anywhere.

Since we were between primary care doctors (the one we were using joined a concierge practice which had a monthly membership fee, so he was not an option anymore), we decided to go to the Urgent Care center. After sitting through a visit there, they were most unhelpful. They were not allowed to make any diagnosis, or prescribe any pain meds or even schedule an MRI.

At this point, November 13th, we decided to try and find someone who could help us, but we had our trip to Boise planned and we intended to find the right provider after we returned.

In the next post, we will describe our journey over the mountains and to Boise.

And Then There Was Edmonton…

I’ve just returned from Edmonton, Alberta, Canada after meeting with some people there for work. Let’s just say it’s a very cold place sometimes, and this was no exception. The temperature never got above freezing for the duration of the trip.

Icy/snowy roads in Edmonton. Good thing they gave me an AWD vehicle!

I’ve been to Canada many times, but this was the first time I actually flew into Canada. I’ve gone there on boats and in cars, but never by air – until this week. Now, I have flown there and back. That mean, of course, that I now have one more airport to add to my collection: YEG.

Yes, that doesn’t look like an abbreviation for Edmonton, but this is how Canada does it: almost all of their airport codes start with “Y”. Something to do with radio towers, or some such. But at least the “E” stands for Edmonton, I think.

The trip there was round-about, since I want to make sure I flew United the whole way, so I went way out of my way to fly through Denver. Coming back, I went through customs and immigration inside of the airport – which made connecting smooth and seamless as if I had flown in from just another US city.

I feel like it made the journey a whole lot easier that way, not having to do that in the middle of the trip.

View from my hotel.

I didn’t get to see much of the town since I was in an office building for most of the limited daylight hours. But, there was good food and drink to be found.

All in all, the trip was a success, and I’m glad I was able to go.